La espina bífida abierta prácticamente ya no se ve, y son el mielomeningocele, el meningocele y el mielocele. El tratamiento preventivo antes del embarazo (3 meses) y durante el embarazo (3 primeros meses) ha hecho que desaparezcan: de cualquier forma cuando ocurre, en nuestra opinión el tratamiento es la intervención quirúrgica.
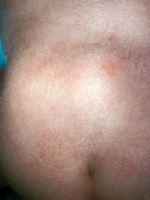
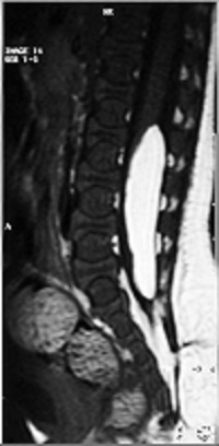
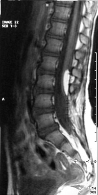
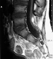
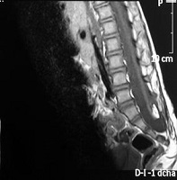
La espina bífida oculta está formada por las malformaciones como los lipomas, senos dérmicos, diastematomielia, etc. que anclan la médula. Se operan con técnicas microquirúrgicas antes del año de vida.
![]() |
![]() |
![]() |
![]() |
![]() |
![]() |
![]() |
![]() |
![]() |
![]() |
![]() |
![]() |
![]() |
![]() |














